양산부산대병원 '정밀한 검진 서비스' AI 딥러닝 '딥캐치' 도입
97% 정확도의 딥캐치
3D 의료영상 시각화 제공
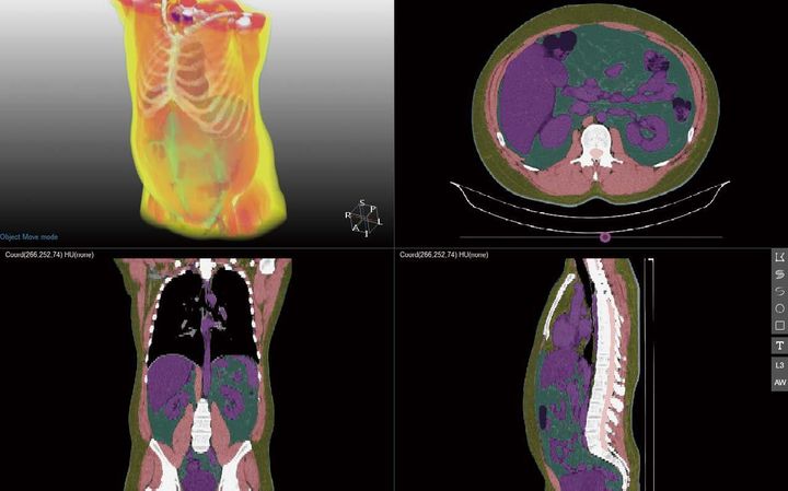
![[양산=뉴시스] CT 촬영 시 딥캐치 소프트웨어를 반영한 이미지. (사진=양산부산대병원 제공) 2025.01.01. photo@newsis.com *재판매 및 DB 금지](https://img1.newsis.com/2025/01/01/NISI20250101_0001741235_web.jpg?rnd=20250101163031)
[양산=뉴시스] CT 촬영 시 딥캐치 소프트웨어를 반영한 이미지. (사진=양산부산대병원 제공) 2025.01.01. [email protected] *재판매 및 DB 금지
[양산=뉴시스] 안지율 기자 = 경남 양산부산대학교병원은 2일부터 건강증진센터에 인공지능(AI) 의료영상 분석 소프트웨어 기업인 메디컬아이피의 AI 기반 CT 분석 솔루션 '딥캐치(DeepCatch)'를 도입한다고 1일 밝혔다.
딥캐치는 AI 딥러닝 기술을 활용해 단 한 번의 클릭으로 1분 내 CT 영상에서 다양한 위치에 따른 뼈, 근육, 지방 등 전신 체성분을 자동으로 분석해 수치 정보까지 산출해 주는 의료영상 분석 소프트웨어다. 이 기술은 정확도가 무려 97%에 달하는 혁신적인 기술이다.
병원은 이번 딥캐치 도입으로 건강검진센터에서 복부 CT를 촬영한 검진자가 별도의 검사 없이 뼈, 근육, 피하지방, 내장지방 등 체성분의 양을 분석할 수 있으며, 이를 통해 고령화 사회의 심각한 문제로 대두되는 대사성질환을 조기에 발견할 뿐만 아니라 비만이나 근감소증 등 세밀한 정보를 얻을 수 있을 것으로 기대된다.
![[양산=뉴시스] CT 촬영 시 딥캐치 소프트웨어를 반영한 이미지. (사진=양산부산대병원 제공) 2025.01.01. photo@newsis.com *재판매 및 DB 금지](https://img1.newsis.com/2025/01/01/NISI20250101_0001741236_web.jpg?rnd=20250101163054)
[양산=뉴시스] CT 촬영 시 딥캐치 소프트웨어를 반영한 이미지. (사진=양산부산대병원 제공) 2025.01.01. [email protected] *재판매 및 DB 금지
또 2D 형태의 CT를 3D 형태의 입체 의료영상으로 시각화된 정보를 제공하게 되는데, 이때 검진자들은 QR코드를 통해 스마트폰에서 본인의 복부 CT 분석 영상을 확인할 수 있어 환자 만족도 제고를 높이는 데도 기여할 것으로 보인다.
병원 건강증진센터는 올해 카카오 파스타의 연속혈당검사, 하이카디 연속심전도검사와 같은 웨어러블 검사, AI 안저 분석 검사 도입에 이어 CT AI 분석 솔루션 '딥캐치'를 도입해 건강검진에 있어 더욱 혁신적인 의료기술을 적용해 검진의 질을 높일 예정이다.
이상돈 병원장은 "인체를 구성하는 체성분은 우리의 건강과 직접 연관되는 중요한 부분이다"며 "이번 딥캐치 도입을 통해 건강증진센터 내에서 더욱 정밀한 검진 서비스를 제공할 계획이며, 이를 통해 검사 효율이 극대화되는 것은 물론, 더욱 정확한 진단 결과를 제공할 것"이라고 전했다.
◎공감언론 뉴시스 [email protected]
Copyright © NEWSIS.COM, 무단 전재 및 재배포 금지





























