"아침에 일어났더니 발목이 안 들려요"…혹시 이 질환?[몸의경고]
갑자기 발목 안 들리면 '비골신경병증' 의심해야
뇌졸중·척추질환과 증상 비슷해…빠른 진단 필요
딱딱한 돌침대·양반다리 등 생활습관 위험요인
![[서울=뉴시스] 비골신경병증은 무릎 바깥쪽을 지나 발목과 발가락을 조절하는 비골신경이 근육·섬유성 띠 등 구조물로 인한 외부 압박을 받아 기능 이상이 발생하는 말초신경질환이다. (사진= 유토이미지 제공)](https://img1.newsis.com/2025/10/21/NISI20251021_0001970967_web.jpg?rnd=20251021103952)
[서울=뉴시스] 비골신경병증은 무릎 바깥쪽을 지나 발목과 발가락을 조절하는 비골신경이 근육·섬유성 띠 등 구조물로 인한 외부 압박을 받아 기능 이상이 발생하는 말초신경질환이다. (사진= 유토이미지 제공)
이처럼 발목이 들리지 않는 증상은 말초신경 질환일 가능성이 있지만, 초기에는 뇌 질환으로 오인되거나 정확한 진단이 늦어지는 경우가 적지 않다.
양진서 한림대학교춘천성심병원 신경외과 교수는 발목을 들어 올리는 근력 저하와 함께 무릎 바깥쪽 감각 이상에 주목했다. 이후 무릎 부위 MRI(자기공명영상) 검사를 시행한 결과, 무릎 외측을 지나는 비골신경이 섬유성 구조물에 의해 압박돼 있는 것을 확인됐다. 양 교수는 조씨의 증상을 '비골신경병증에 의한 족하수'로 진단했다. 족하수는 발목과 발가락을 들어 올리는 힘이 약해지는 증상으로, 걷거나 계단을 오를 때 발끝이 바닥에 끌리거나 발을 제대로 들지 못하는 것이 특징이다.
의료계에 따르면 갑작스럽고 원인을 알 수 없는 통증·장애로 내원하는 말초신경질환 환자가 꾸준히 증가하고 있다.
28일 건강보험심사평가원에 따르면 말초신경질환으로 병원을 찾은 환자 수는 2020년 2만6938명에서 2024년 3만967명으로 4029명(14.9%) 증가했다. 특히 발목이 처지며 보행에 어려움을 겪는 '족하수' 증상으로 병원을 찾는 환자들이 늘고 있다.
비골신경병증은 무릎 바깥쪽을 지나 발목과 발가락을 조절하는 비골신경이 근육·섬유성 띠 등 구조물로 인한 외부 압박을 받아 기능 이상이 발생하는 말초신경질환이다. 대표적인 증상은 발목을 위로 들어 올리기 어려운 '족하수'로, 평소와 달리 발끝이 바닥에 자주 걸리거나 계단을 오르내릴 때 불안정한 보행을 보인다.
양진서 교수는 "환자 대부분이 '아침에 일어났더니 갑자기 발이 안 올라간다'거나 '특별히 다친 적이 없는데 발이 끌린다'고 호소한다"며 "이러한 증상은 근육 문제가 아니라 신경 압박에서 비롯되는 경우가 많다"고 설명했다.
비골신경병증은 교통사고나 외상처럼 명확한 원인이 없어도 발생할 수 있다. 수면 중 한쪽 다리를 오래 눌린 자세로 유지하거나, 쭈그려 앉아 장시간 작업하는 생활습관이 반복되면서 신경이 지속적으로 압박돼 증상이 나타나는 경우가 적지 않다. 계절이나 기온 변화보다는 평소 생활 패턴과 자세가 발병에 더 큰 영향을 미친다.
![[그래픽=뉴시스]](https://img1.newsis.com/2023/03/16/NISI20230316_0001218945_web.jpg?rnd=20230316171514)
[그래픽=뉴시스]
양진서 교수는 "뇌와 척추 MRI 검사에서 이상이 발견되지 않는데도 발목이 들리지 않는다면, 말초신경병증 가능성을 반드시 고려해야 한다"며 "비골신경병증은 무릎 부위 MRI만으로도 비교적 명확한 진단이 가능한 질환이지만, 질환에 대한 인식이 부족하면 불필요한 검사와 치료로 시간을 허비하게 된다"고 지적했다.
특히 신경은 손상 후 회복 가능한 시간이 제한적이기 때문에, 진단이 늦어질 경우 수술 효과가 떨어지거나 회복까지 오랜 시간이 소요될 수 있다. 양 교수는 “조기에 정확한 진단만 이뤄져도 치료 결과가 매우 좋은 질환”이라고 강조했다.
비골신경병증의 치료는 증상 발생 초기에는 발목 보조기 착용, 소염진통제 등 약물치료, 물리치료와 같은 보존적 치료를 우선 시행한다. 이러한 치료로 증상 호전을 기대할 수 있으나, MRI 검사에서 비골신경 주행 부위의 압박이 명확하게 확인되거나 일정 기간 보존적 치료에도 불구하고 족하수 증상이 지속·악화되는 경우에는 수술적 치료를 고려하게 된다.
대표적인 수술 방법은 섬유성 터널 감압술로 비골신경이 무릎 바깥쪽과 종아리 위쪽을 지나며 형성된 섬유성 터널 내부에서 압박을 받는 경우 시행된다.
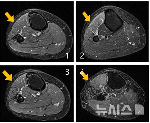
![[서울=뉴시스] 근육 손상이 진행되는 과정을 단계별로 보여주는 MRI 사진. (사진= 한림대춘천성심병원 제공)](https://img1.newsis.com/2026/03/27/NISI20260327_0002095430_web.jpg?rnd=20260327113636)
[서울=뉴시스] 근육 손상이 진행되는 과정을 단계별로 보여주는 MRI 사진. (사진= 한림대춘천성심병원 제공)
또 오랜 시간 바닥에 앉아 있다가 그대로 잠드는 경우, 딱딱한 돌침대에서 옆으로만 누워 생활하는 거동이 불편한 고령층, 바닥에서 양반다리나 가부좌 자세를 오래 유지하는 생활 습관 역시 위험 요인이 될 수 있다. 바닥 생활이 익숙한 한국 생활문화 특성상 특정 자세를 오래 유지하는 습관이 말초 신경 압박으로 이어질 수 있다. 딱딱한 바닥에서는 수시로 자세를 바꾸고 수면 시에는 무릎 바깥쪽이 눌리지 않도록 주의하는 것이 중요하다.
양진서 교수는 "족하수는 단순한 근력 저하가 아니라 신경 이상을 알리는 중요한 신호일 수 있다"며 "증상이 수일 이상 지속되거나 점점 악화된다면, 적절한 치료 시기를 놓치지 않도록 말초신경질환을 전문적으로 진료하는 신경외과 전문의를 찾는 것이 중요하다"고 말했다.
그는 "조기에 정확한 진단과 치료가 이뤄지면 충분히 일상으로의 회복이 가능하다"며 "환자 스스로 증상을 알고 빠르게 병원을 찾는 것만으로도 치료 결과는 크게 달라질 수 있다"고 말했다.
◎공감언론 뉴시스 [email protected]
Copyright © NEWSIS.COM, 무단 전재 및 재배포 금지





























