방사선 노출 최소화해 소아환자 CT 촬영…"AI라서 가능"[빠정예진]
서울대어린이병원 연구팀, 방사선량 줄이면서 CT 품질은 유지
클라리파이 'ClariCT.AI', 주요 의료기기 제품설치 가능한 범용성
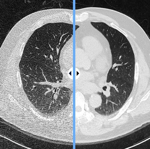
![[서울-뉴시스] 8일 클라리파이에 따르면 서울대어린이병원 연구팀은 클라리파이가 개발한 의료AI 솔루션 'ClariCT.AI'를 활용한 결과 초저선량 CT에서도 영상 품질이 일반 선량 CT와 유사하고 진단 성능 또한 유지할 수 있다고 보고했다. 사진은 클라이파이의 의료AI 솔루션 사용 전(왼쪽)과 후 모습. (사진=클라리파이 제공) 2025.03.07. photo@newsis.com *재판매 및 DB 금지](https://img1.newsis.com/2025/03/07/NISI20250307_0001786069_web.jpg?rnd=20250307145047)
[서울-뉴시스] 8일 클라리파이에 따르면 서울대어린이병원 연구팀은 클라리파이가 개발한 의료AI 솔루션 'ClariCT.AI'를 활용한 결과 초저선량 CT에서도 영상 품질이 일반 선량 CT와 유사하고 진단 성능 또한 유지할 수 있다고 보고했다. 사진은 클라이파이의 의료AI 솔루션 사용 전(왼쪽)과 후 모습. (사진=클라리파이 제공) 2025.03.07. [email protected] *재판매 및 DB 금지
[서울=뉴시스]송종호 기자 = 최근 온라인에는 컴퓨터 단층촬영(CT) 방사선 노출을 걱정하는 질문이 많이 올라온다. 특히 소아환자의 경우 방사선 노출에 대한 우려가 크다. 이를 고려해 최근에는 방사선량을 줄인 저선량 CT 보급도 확산되고 있다. 하지만 일부 저선량 CT의 경우 줄어든 방사선만큼 이미지 품질이 떨어진다는 단점도 있다.
이런 문제를 해결하기 위해 의료AI 업계와 의료계에서는 관련 연구가 활발한다. 국내에서는 서울대어린이병원 소아영상학과 최영훈 교수팀이 2021년 9월부터 2022년 9월까지 두개골 조기유합증을 가진 38개월 미만 소아 29명을 대상으로 한 임상 연구를 진행했다. 연구팀은 일반 선량의 1/20 만을 사용한 초저선량 CT를 촬영했다.
연구팀은 클라리파이가 개발한 의료AI 솔루션 'ClariCT.AI'를 활용한 결과 초저선량 CT에서도 영상 품질이 일반 선량 CT와 유사하고 진단 성능 또한 유지할 수 있다고 보고했다. 이번 연구로 AI 기술을 활용하면소아환자들의 두부 CT 촬영에서 의료 방사선량을 줄일 수 있음이 입증됐다.
두개골 조기유합증은 영유아 등에서 두개골의 조기 봉합으로 인해 뇌와 두개골이 정상적으로 자라지 못하는 질환이다. 일반적으로 머리와 안면 부위의 CT 촬영을 통해 진단하는 것으로 알려졌다.
해당 연구에는 19년의 소아방사선영상 판독 경력을 가진 영상의학 전문의 2인이 독립적인 판정에 참여했다. 또 일반 선량(1.15mSv) CT 촬영 그룹에 비해 초저선량(0.05mSv) CT 촬영 그룹에서 영상의 품질과 두개골 조기유합증 진단 성능의 두 가지 측면에서 그룹간 차이를 비교했다.
연구결과 초저선량 CT에 AI 재구성을 적용한 그룹에서는 영상품질이 향상됐고 두개골 조기융합증 진단 성능에도 일반 선량 CT 촬영 그룹에 비해 차이가 없었다. 반면, 초저선량 CT에 AI 재구성을 적용하지 않았을 경우에는 영상품질이 저하됐다.

클라리파이의 'ClariCT.AI'는 AI 기반 저선량 CT 디노이징 솔루션이다. 초저선량 CT촬영 시 발생하는 이미지 노이즈를 AI 알고리즘을 통해 제거한다. 의료질은 이를 통해 고품질의 이미지를 확보할 수 있다. 또한 CT의 교체 없이 GE헬스케어, 필립스, 지멘스 등 주요 의료기기 업체의 제품에 설치될 수 있는 범용성을 갖췄다.
서울대어린이병원 소아영상학과 최영훈 교수는 "이번 연구는 딥러닝 재구성 기술을 초저선량 CT에 사용해 소아환자의 두개골조기유합증을 진단하는 효과적이고 안전한 방법으로, 진단 정확성을 희생하지 않으면서 방사선 노출을 줄일 수 있음을 보여준다"고 말했다.
◎공감언론 뉴시스 [email protected]
Copyright © NEWSIS.COM, 무단 전재 및 재배포 금지





























