• 페이스북
  • 트위터
  • 유튜브

병명 몰라 40년간 병원 전전한 60대…"일상 되찾아 감사"

등록 2025.08.26 11:27:06수정 2025.08.26 13:00:23

  • 이메일 보내기
  • 프린터
  • PDF

10만명당 1명꼴 희귀질환 '음부신경병증'

앉은 자세서 통증…척추질환 오진 많아

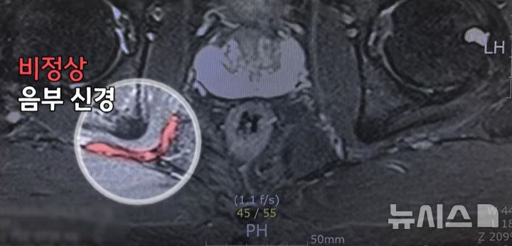
[서울=뉴시스] 비정상 음부신경. (사진= 한림대학교의료원 제공) 

[서울=뉴시스] 비정상 음부신경. (사진= 한림대학교의료원 제공)  

[서울=뉴시스] 류난영 기자 = 춘천에 거주하는 68세 박근화(가명)씨는 1986년 군 전역 직후 갑작스럽게 앉아 있을 수 없을 정도의 통증을 느끼기 시작했다. 이후 한의학 치료, 민간요법, 유수의 대학병원 진료 등 가능한 모든 방법을 시도했으나 통증은 오히려 심해져 그는 정확한 원인을 모른 채 40년 동안 바닥에 앉지도 못하며 생활해야 했다.

전환점은 한림대학교춘천성심병원 신경외과 양진서 교수를 만나면서 찾아왔다. 양진서 교수는 환자의 증상을 면밀히 확인한 후 통증의 원인이 음부신경 압박에 의한 '음부신경병증'임을 진단했다. 이후 '음부신경 감압술'을 시행했고 수술 일주일 만에 박 씨는 통증이 크게 줄어 바닥에 앉을 수 있게 됐다.

26일 의료계에 따르면 음부신경병증은 좌골신경 안쪽에서 나오는 2~3㎜ 크기의 음부신경이 천골인대와 천골결절인대 사이에서 눌리면서 발생하는 질환이다. 특히 앉아 있는 자세에서 음부신경이 심하게 압박되어 이로 인해 음부, 회음부, 항문 주변에 극심한 통증과 운동 기능 장애가 나타난다. 발병률은 10만명당 약 1명꼴로 보고되는 희귀 말초신경 질환으로 알려져 있으나, 단순 염좌 혹은 척추 질환으로 오진하는 경우를 고려하면 실제 발병률은 이보다 높을 것으로 추정된다.

주로 오래 앉아서 생활하는 직업군(사무직·직업 운전자·연주자 등)과 자전거·스쿼트·런닝 등의 고강도 운동으로 발생하는 반복적인 신경 마찰에 의해서도 음부신경병증이 발생할 수 있다. 또 골반 수술 후 직접적인 신경 손상, 외상이나 분만 과정에서의 물리적 충격, 골반 근육의 과도한 긴장이나 염증도 주요 원인으로 알려져 있다.

음부신경병증 환자의 임상 증상은 척추질환과 유사한 점이 많아 다수의 환자가 척추 추간판(수핵) 탈출증이나 협착증, 혹은 퇴행성 디스크증으로 오진 받아 진단이 늦어지는 경우가 많다. 양진서 교수는 "앉아 있을 때 허리와 엉덩이 혹은 다리 통증이 심해진다면 추간판(수핵) 탈출증일 가능성이 높지만 음부와 회음부, 항문에 국한돼 심한 통증이 나타난다면 음부신경병증을 반드시 의심해봐야 한다"고 설명했다. 또 "음부신경병증은 앉아 있을 때 음부와 회음부, 항문에 국한된 통증으로 오래 앉아 있지 못하는 것이 특징"이라고 설명했다.

박씨는 이와 비슷한 사례로 그동안 다른 질환으로 오진받아 정확한 치료를 받지 못했다. 박씨는 "40년이면 제 인생의 절반 이상인데 긴 세월을 고통 속에 보냈다. 교수님을 만나고 나서 삶이 완전히 달라졌다. 일상생활을 되찾아 감사하다"고 말했다.

초기에는 가벼운 약물 치료나 일상생활에서의 스트레칭 등으로 음부신경 혹은 골반 주변 근육을 이완시킴으로써 증상을 충분히 완화할 수 있다. 하지만 초기 보존적 치료에도 불구하고 증상이 호전되지 않거나 관련 심한 경우, 수술을 통해 압박된 음부신경을 풀어주는 감압술이 고려된다. 40년간 고통받던 박씨의 경우에도 수술을 통해 증상이 극적으로 호전됐다.

음부신경 감압술은 신경외과에서 시행하는 비교적 간단한 수술 방법으로 실제 수술 시간은 1시간 내외 소요된다. 아픈 부위의 엉덩이에 5㎝ 정도의 피부 절개를 하고, 음부 신경을 압박하고 있는 인대를 찾아 제거 및 박리하는 과정으로 진행된다. 수술 후 당일부터 보행과 일상 생활이 가능하며, 평균적으로 2~3일 입원 후 통원 치료가 가능하다. 수술 후에는 70% 이상의 통증 호전을 보여 환자의 만족도가 높다.

예방을 위해서는 장시간 앉아 있어야 하는 직업의 경우 중간 중간 일어나 스트레칭을 하는 것이 좋다. 자전거와 오토바이를 탈 때는 충격을 흡수하고 압력을 완화해주는 안장을 사용하는 것이 도움이 되며, 골반 근육이 과도하게 긴장되지 않도록 규칙적인 스트레칭을 하는 것이 필요하다. 또한 여성의 경우 분만 후에는 골반 회복 운동을 꾸준히 이어가는 것이 좋다.

양진서 교수는 "환자들이 허리가 아프거나 엉덩이가 아프다고 해서 반드시 척추 문제가 아닐 수 있으며 다른 원인에 의한 증상일 가능성도 있다"며 "지금 치료 중인 병원에서 진료를 받았는데도 증상이 호전되지 않거나 오히려 악화된다면 다른 질환, 특히 말초신경 질환의 가능성도 염두에 두고 전문의와 상담하는 것이 중요하다"고 강조했다.


◎공감언론 뉴시스 [email protected]

많이 본 기사