건강 365
-
"뼈 튼튼" 3가지 생활습관…우유와 멸치, 그리고 '이것'
송종호기자2025.11.07 08:01:00
-
"임신 앞두고 있는데"…'자궁에 생긴 혹' 그냥 둬도 될까
류난영기자2025.11.07 01:01:00
-
"아이고 내 무릎"…울긋불긋 단풍 산행길 '내리막' 조심
류난영기자2025.11.06 10:21:43
-
"눈 부시게 푸른 가을 하늘"…눈 건강 위험은 더 커진다
송종호기자2025.11.05 08:01:00
-
이소원 인턴기자2025.11.05 05:00:00
-
"가슴이 자꾸 두근거려요"…방치시 돌연사 위험 '이 질환'
류난영기자2025.11.04 01:01:00
-
"어깨통증, 덜아프다고 참지 마세요"…'이 경우' 병원가야
류난영기자2025.11.03 11:16:15
-
"하루 1만 보는 마케팅 산물…2300보만으로도 건강 효과"
강세훈기자2025.11.02 00:00:00
-
"뇌졸중 후 추운 날씨엔 팔·다리가 뻣뻣"…'이 경우' 치료
류난영기자2025.10.30 09:42:08
-
"또래보다 유독 작은 우리아이"…알레르기 비염이 원인?
류난영기자2025.10.30 01:01:00
-
"하루 1만보 걸어도…'이 방법' 바꿔야 심혈관 위험 줄인다"
이소원 인턴기자2025.10.29 10:48:28
-
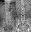
"허리가 삐뚤어졌어요"…'이 질환' 방치시 보행장애 온다
류난영기자2025.10.29 01:01:00
-
"가만히 있는데 손 떨려요"…혹시, 수전증 아닌 '이 질환'?
류난영기자2025.10.28 10:16:14
많이 본 기사
기획특집











