• 페이스북
  • 트위터
  • 유튜브

[뉴시스아이즈]건강칼럼 '건강과 행복'-무리한 손목사용 '척골충돌증후군' 부른다

등록 2013.01.07 15:20:21수정 2016.12.28 06:49:55

  • 이메일 보내기
  • 프린터
  • PDF
【서울=뉴시스】박준식 새움병원 정형외과 원장.

【서울=뉴시스】40대 후반 이모씨는 계속되는 손목통증에 정형외과를 찾았다. 아프다가도 잠깐 쉬면 통증이 가라앉아 몇 달째 참고 지냈지만 최근에는 손목을 사용할 수 없을 정도로 극심한 통증에 시달렸기 때문이다. 진료 후 진단받은 이씨의 병명은 다름 아닌 ‘척골충돌증후군’. 생소한 병명에 이씨는 의아해 할 수밖에 없었다.

 척골충돌증후군은 내원하는 환자 수에 비해 많이 알려지지 않은 질환 중 하나다. 생각보다 많은 이들이 척골충돌증후군으로 인한 손목통증에 시달리지만, 손목터널증후군과는 달리 대중들은 잘 모른다. 때문에 이를 질환으로 인식 못하고 가벼운 염좌로 생각하는 경우도 많다. 척골충돌증후군의 경우 방치하면 연골을 손상시켜 연골파열을 일으키거나 관절염을 유발시키기 때문에 초기에 치료하지 않으면 매우 위험하다.

 또 이 질환의 증상 중 하나가 새끼손가락의 저림인데 이를 보고 많이 알려진 손목터널증후군의 증상으로 오인하는 경우도 있다. 하지만 손목터널증후군의 경우 새끼손가락이 저린 증상은 거의 없고 엄지나 검지, 중지가 저리기 때문에 새끼손가락이 저리고 손목통증이 있다면 손목터널증후군보다는 척골충돌증후군을 의심하는 것이 옳다.

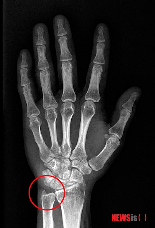
 척골충돌증후군은 말 그대로 척골이 충돌한다 해서 붙여진 이름으로 팔꿈치부터 손목까지 이어진 척골이라는 뼈의 손목 쪽 끝부분이 자라나면서 손목뼈와 충돌하는 것을 말한다. 가장 큰 원인은 지속적이며 반복적인 손목의 무리한 사용으로, 이로 인해 척골의 끝부분이 자라나는 것이다. 그 길이는 5㎜ 이상으로 아주 작은 차이지만 손목의 일상적인 사용도 힘들게 할 정도로 통증을 줄 수 있다.

 초기의 경우 생활습관을 개선하고 약물 및 물리치료와 같은 보존적 치료를 시행하지만 이미 뼈가 자라난 상태이기 때문에 효과가 없는 경우가 많다. 때문에 수술적 치료를 시행하게 되는데, 상태에 따라 관절내시경수술과 개방적 수술이 시행된다. 초기의 경우에는 4㎜ 이하의 초소형내시경을 삽입해 자라난 뼈를 적은 절개로 제거하게 된다. 하지만 초기 단계를 지난 경우에는 뼈가 이미 많이 자라났기 때문에 관절내시경으로 자라난 뼈를 제거하고 개방적 수술을 통해 손목뼈의 길이를 줄여 재발률을 낮춰준다. 수술시간은 1시간 정도로 큰 부담을 느낄 수술은 아니지만 무엇보다 수술 경험이 많고 전문지식이 높은 전문의에게 치료받을 것을 권한다.

【서울=뉴시스】척골충돌증후군

 혹시 그동안 손목통증으로 고생 중이었다면 손목 안쪽 아래의 뼈를 살펴볼 필요가 있다. 뼈가 살짝 나와 있고 그 부위에 통증이 심하다면 척골충돌증후군을 의심해 봐야 한다.

 박준식 새움병원 정형외과 원장

※이 기사는 뉴시스 발행 시사주간지 뉴시스아이즈 제310호(1월8일~14일자)에 실린 것입니다.

많이 본 기사