6세 아이 복통 원인은 위에 가득 찬 이것…라푼젤 증후군
![[뉴시스] 복통을 호소하던 6세 여아의 위장 안에서 예상치 못한 이물질이 발견된 사례가 학술지에 보고됐다. (사진=큐레우스 저널) *재판매 및 DB금지 *재판매 및 DB 금지](https://img1.newsis.com/2026/01/22/NISI20260122_0002046598_web.jpg?rnd=20260122152509)
[뉴시스] 복통을 호소하던 6세 여아의 위장 안에서 예상치 못한 이물질이 발견된 사례가 학술지에 보고됐다. (사진=큐레우스 저널) *재판매 및 DB금지 *재판매 및 DB 금지
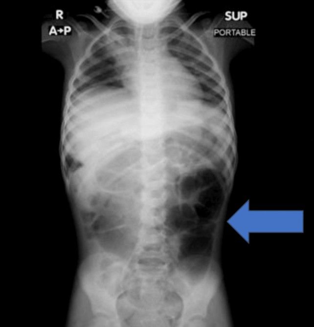
[서울=뉴시스]윤서진 인턴 기자 = 복통을 호소하던 6세 여아의 위장 안에서 예상치 못한 이물질이 발견된 사례가 학술지에 보고됐다.
20일 의학 저널 '큐레우스(Cureus)' 실린 보고에 따르면, 사우디아라비아에 거주하는 6세 여자아이는 수주간 이어진 복통과 소화 장애 증상으로 병원을 찾았다. 정밀 검사를 진행한 결과, 의료진은 위 내부에 비정상적으로 큰 이물질이 자리 잡 것을 확인했다.
![[뉴시스] 다량의 머리카락이 엉켜 형성된 덩어리. (사진=큐레우스 저널) *재판매 및 DB금지 *재판매 및 DB 금지](https://img1.newsis.com/2026/01/22/NISI20260122_0002046600_web.jpg?rnd=20260122152622)
[뉴시스] 다량의 머리카락이 엉켜 형성된 덩어리. (사진=큐레우스 저널) *재판매 및 DB금지 *재판매 및 DB 금지
수술을 통해 제거된 물질의 정체는 다량의 머리카락이 엉켜 형성된 덩어리였다. 해당 덩어리는 위에 머무는 데 그치지 않고 소장 일부까지 길게 이어진 상태였던 것으로 전해졌다.
의료진은 보고서를 통해 "소아 환자에게 반복적인 복통이나 구토, 식욕 저하 증상이 장기간 지속될 경우 위장관 내 이물질 가능성을 염두에 둬야 한다"며 "영상 검사를 통한 조기 진단과 신속한 치료가 중요하다"고 강조했다.
이처럼 머리카락이 위장에 축적돼 문제를 일으킨 사례는 과거에도 보고된 바 있다. 2014년 인도에서는 19세 여성의 복부에서 약 2.4kg에 달하는 머리카락 덩어리가 제거됐고, 2019년에는 미국의 18세 여성에게서 4.5kg 상당의 덩어리가 발견되기도 했다. 당시 환자는 장 폐색으로 극심한 복통과 체중 감소를 겪은 것으로 알려졌다.
라푼젤 증후군은 머리카락을 반복적으로 뽑는 행동과 이를 삼키는 습관이 함께 나타나면서, 섭취된 모발이 위장 안에 쌓여 덩어리를 이루는 매우 드문 질환이다.
이 병명은 독일 그림 형제가 소개한 동화 '라푼젤'에서 따왔다. 동화 속 주인공이 높은 탑에서 길게 늘어뜨린 머리카락으로 외부와 이어지는 장면처럼, 실제 질환에서도 머리카락으로 형성된 이물질이 위에서 시작해 실타래처럼 장까지 길게 이어지는 양상을 보이기 때문이다.
◎공감언론 뉴시스 [email protected]
Copyright © NEWSIS.COM, 무단 전재 및 재배포 금지





























