태안 갯벌서 신종 미생물 '아가리보란스 세디미니스' 발견
자원관 "알긴산 분해 효소 보유, 해양바이오 소재 활용 기대"
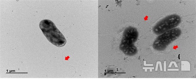
![[서울=뉴시스] 충남 태안 갯벌에서 발견된 신종 미생물 아가리보란스 세디미니스의 모습. photo@newsis.com](https://img1.newsis.com/2026/02/13/NISI20260213_0002063920_web.jpg?rnd=20260213152241)
[서울=뉴시스] 충남 태안 갯벌에서 발견된 신종 미생물 아가리보란스 세디미니스의 모습. [email protected]
알긴산은 다시마와 미역 등 갈조류의 세포벽에 함유된 산으로, 식품·의약·화장품에 활용되는 소재다.
아가리보란스 세디미니스는 '막대 모양'(Rod-shaped)을 하고 있으며 편모를 이용해 움직일 수 있다. 다시마와 미역 등 갈조류에 포함된 알긴산을 분해해 항산화와 면역 기능에 관련된 알긴산 올리고당을 만드는 것이 특징이다.
연구진은 미생물이 발견된 환경을 반영해 '퇴적물 유래'라는 의미의 이름을 붙였다. 이번 연구 결과는 국제 미생물 분야 학술지에 실려 학술적 가치도 인정받았다.
김현태 자원관장은 "우리 갯벌에는 산업적으로 활용할 수 있는 미생물 자원이 풍부하다"며 "앞으로도 새로운 해양미생물을 찾아 해양바이오 소재 개발로 이어가겠다"고 말했다.
◎공감언론 뉴시스 [email protected]
Copyright © NEWSIS.COM, 무단 전재 및 재배포 금지





























