몸속 기생충 수백마리…의사 경악케한 엑스레이 한 장
브라질 환자 온몸 곳곳에 석화회 된 유구조충
의사 "곤충 죽어있어 생명에 지장 없어"
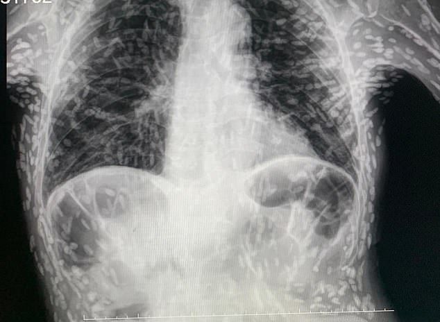
![[서울=뉴시스] 브라질의 한 의료진이 온몸 곳곳 수백 개의 기생충이 있는 한 환자의 엑스레이(X-ray) 사진을 올렸지만 생명에는 지장이 없다고 지난 4일(현지시간) 영국 데일리메일이 보도했다. (사진=데일리메일 갈무리)2023.05.11. *재판매 및 DB 금지](https://img1.newsis.com/2023/05/11/NISI20230511_0001263161_web.jpg?rnd=20230511103312)
[서울=뉴시스] 브라질의 한 의료진이 온몸 곳곳 수백 개의 기생충이 있는 한 환자의 엑스레이(X-ray) 사진을 올렸지만 생명에는 지장이 없다고 지난 4일(현지시간) 영국 데일리메일이 보도했다. (사진=데일리메일 갈무리)2023.05.11. *재판매 및 DB 금지
[서울=뉴시스]김경문 인턴 기자 = 지속적으로 기침을 하며 고통을 호소하던 한 환자의 엑스레이(X-ray) 검사 결과 복부에 수백 마리의 기생충이 가득 차 있었다.
지난 4일(현지시간) 영국 데일리메일은 브라질의 한 의료진이 자신의 소셜미디어에 이 같은 엑스레이 사진을 공유했다고 보도했다. 이 사진에는 환자의 몸 곳곳 수백 개의 점 형상이 있었다. 각각의 점은 석회화(혈액 중 칼슘이 축적되는 것) 된 기생충 사체였다.
보도에 따르면 이 증상은 '유구낭미충증'이라고도 불리며 유구조충의 유충인 유구낭미충에 의한 인체감염증을 의미한다. 주로 인간의 장에 사는 촌충의 유충이 근육이나 뇌 등으로 침투할 때 나타난다. 이곳에 침투한 유충들은 피부의 기저 부분에서 낭종과도 같은 결절을 만들어 내기도 한다. 낭종은 표피나 피부 아래 모낭 등에서 발생하고, 결절은 피부 아래 지방조직에서 생기는 작은 덩어리이다.
유구조충은 육류 중 특히 돼지고기를 제대로 익히지 않고 섭취했을 때 인체로 들어온다. 뇌나 눈 등에 유충이 생겨 이로 인해 두통, 복통, 시력 저하 등의 문제를 일으킨다.
매해 지구촌 곳곳에서 250만명이 유구존충에 감염되고 있는 것으로 추정되며, 대부분 아시아, 남미, 동유럽 지역 등 개발도상국에서 발생한다.
이 사진을 공개한 브라질 의료진은 환자가 별다른 치료가 필요하지 않다고 했다.
의료진은 "머리, 척수, 눈 등에 이상이 생긴 것이 아니면 치료를 받을 필요가 없다"며 "이미 석회화되었기 때문에 살아있는 유충이 아니어서 특별한 조치가 필요하지 않다"고 밝혔다.
다만 이 환자는 현재 뇌에도 낭종이 있는지 확인하기 위해 자기공명영상(MRI) 검사를 기다리고 있는 것으로 알려졌다.
◎공감언론 뉴시스 [email protected]
Copyright © NEWSIS.COM, 무단 전재 및 재배포 금지





























